小児脳神経外科疾患について
小児脳神経外科疾患について
1. 水頭症
水頭症は種々の先天性疾患や腫瘍、囊胞性疾患に関連して生じる小児脳神経外科で最も頻度の高い病態の一つです。水頭症に対しては、脳室にカテーテルを挿入し、過剰に貯留している脳脊髄液を外部へ排除する髄液ドレナージ術、もしくは頭皮下に前述した脳室カテーテルと直結するリザーバ(シリコン性の貯留槽)を留置し、リザーバから間歇的に脳脊髄液を穿刺排出させ、脳圧をコントロールします。
シャント手術は脳室カテーテルを皮下へ誘導させ、腹腔内もしくは心房内へ持続吸収させる手術です。水頭症治療に必要な方法ですが、感染、閉塞などの合併症が成人に比し多く、機能不全による急性水頭症により重篤な状態に陥ることがあります。
最近では、シャント手術を回避すべく、病態により神経内視鏡手術を単独もしくは併用し、複雑な水頭症の治療も行っています。
2. 外傷性頭蓋内出血
転倒、転落、交通外傷で生じ、重症例では開頭手術や、脳圧センサー留置術を行います。開頭手術に関しても小児特有の問題点を考慮した手術法を行っています。
3. 二分脊椎症
背部の皮膚が欠損し、表面から脊髄などの異常がみえる顕在性二分脊椎症と皮膚に覆われている潜在性二分脊椎症があります。
代表疾患は、顕在性二分脊椎症では脊髄髄膜瘤、潜在性二分脊椎症は脊髄脂肪腫です。
潜在性二分脊椎症は皮膚で覆われていますが、背部から腰仙部でのくぼみや血管腫などの皮膚異常がサインになることが知られています(15〜20%の有病率)。
当院ではエコーやMRIにてこれらの病変を検査、評価、手術適応の判断を行い手術加療を行うことが可能です。

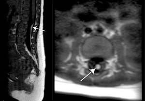
腰仙部皮膚のくぼみの精査MRIで発見された終糸脂肪腫
その他、下記の疾患の診断、治療を行っています。
- 係留脊髄
- 頭蓋骨縫合早期癒合症
- キアリ奇形・脊髄空洞症
- 脳腫瘍
- 脳血管病変(脳出血、脳梗塞)・脳動静脈奇形
- 新生児頭蓋内出血
- 囊胞性疾患・くも膜囊胞
- 頭蓋内感染症